臉部饅化安全處理策略:用超音波看清饅化與異物的真相

臉部饅化如何安全處理,填充物在超音波下的模樣
了解常見臉部填充物在超音波下如何判斷與治療

你有沒有覺得自己臉上哪裡怪怪的,但又說不出來是什麼?或者笑的時候,臉上會出現一些硬塊或鼓起來的小地方?其實這很可能就是「臉部饅化」的現象。簡單說,就是以前打的填充物或脂肪,可能太多或變硬了,讓臉看起來不自然。

今天讓我們從超音波開始,一步一步了解臉部結構內發生了什麼事?教你怎麼安全地解決問題,找回臉部自然的表情。

目錄

李咏馨 醫師|麗波永康國際診所 院長

專長:顯微套管抽脂、抽脂二次修復、自體脂肪應用

我相信抽脂是一項能帶來幸福感的醫療服務,除了重視手術的安全與精準,也會以最真誠的態度與與顧客交流。 用合適、溫和的方式,調整顧客在意的線條,以職人精神專注做好每個小細節,幫助追求美麗身形的你、能透過外在的改變獲得自信與力量。

為什麼會形成「臉部饅化」?先看正常超音波長怎樣

很多人覺得臉「哪裡怪怪的」:笑起來的時候,皮下會鼓起一條不自然的硬線;臉看起來又腫又大,笑起來更明顯;拍照時臉型變寬、變厚。多半是因為打太多或組織變硬(纖維化),讓臉的表情被卡住。

在正常的情況下,表皮與真皮在超音波影像上呈現一條連續亮白線,表示皮膚健康完整。

脂肪層在超音波影像上看起來黑灰交錯像蜂巢,中間很多細白線,那些白線叫 FSN(纖維隔網),就像彈力網一般支撐臉。 這樣的結構代表皮膚和脂肪鬆軟、有彈性,表情、血流、光澤都靠它。

🔔 臨床判斷:如果看到脂肪層中有那些過亮的的區塊,其實就是暗示那個位置有異物反應造成的纖維化

異常組織的對比

當脂肪被異物取代,或身體長太多膠原,超音波會出現一塊一塊很亮白(高回音)的地方,可能是:

  • 疤痕纖維化
  • 膠原蛋白過度堆積
  • 填充物殘留/被包起來

這時 FSN 失去彈性,像被黏死在一起。觸診可摸到硬塊,動態表情會「卡卡的」,笑線不順、臉部像被束住。

從臉部異物反應的超音波示意圖可以看見:脂肪層裡出現亮白顆粒或片狀,就是纖維化或異物的常見樣子。

常見臉部填充物的超音波樣貌與處理方式

臉部填充物很多,不同材質在超音波下的樣子不一樣。辨識越清楚,在處理才能更安全、精準。

1.玻尿酸(Hyaluronic Acid)

超音波:
黑黑的(低回音),最好認。

困擾:
注射層太淺或劑量太多,常出現丁達爾效應(看起來透亮、偏藍灰)。

處理:
用超音波定位後,打玻尿酸酶把它分解。通常退得快,線條會回來。

2.膠原增生劑

超音波:
亮白顆粒或片狀,像小石子散在脂肪層,有時沿韌帶一整條亮。

困擾:
身體長太多膠原會變硬塊,摸起來像「小米粒/硬豆子」,笑會出現一條硬線或鼓起。

處理:
先用消疤針把硬塊軟化、恢復血流,再用顯微套管做減量,線條才會自然且不再一直增生。

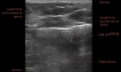
3.自體脂肪填充

超音波:
像膠原塊,亮白片塊、邊界不清。

困擾:
再天然,也怕一次打太多、太集中;養不活的脂肪就變成纖維化。

處理:
先消疤針軟化,必要時配合顯微套管微調體積。

4.膠原蛋白注射劑

超音波:
亮白片塊、邊界不清,和纖維隔交錯。

困擾:
理論上會代謝,但有些地方很慢;密度太高時,笑會不自然突起,不一定摸得到硬塊。

處理:
靠消疤針分層慢慢鬆,循序減量。

5.不可吸收物質

超音波:
中間不均勻的團塊,外圈是一圈亮白的膜;旁邊的纖維隔變粗,暗示慢性發炎的結果。

困擾:
材料不會被身體吸收,可能聚成團,身體會包起來(像小型「夾膜」);時間久了可能位移、下滑,還會反覆發炎。

處理:
先把能流動的不可吸收物質的部分引流掉 ,用消疤針把外面的「膜」和硬化區鬆開,看剩多少、臉型需要,再做顯微抽吸調整

哪些地方最容易「饅化」?

不同部位的結構與韌帶鬆緊度差異很大,同樣的填充量應用在臉上不同區域,表現出來的效果可能完全不一樣。有些位置空間狹小、韌帶緊、活動度高,只要稍微補多一點,就特別容易出現堆積、凸起或一笑就卡住的線條。因此以下幾個區域,也是臨床上最常發生「饅化」的地方。

1.淚溝與顴骨韌帶路徑

第一個最常見的,就是淚溝與顴骨韌帶的路徑。很多人想改善黑眼圈或凹陷,怕補不夠,就會多打一點。但這裡的韌帶非常緊密,空間又狹小,填充物常常被「卡」成一條。平常看似正常,但只要一笑,就會出現一道硬線或突起的形狀

2.蘋果肌(中臉)

大家都想藉著補蘋果肌讓臉變年輕、撐起法令紋,但一個不小心補太多,反而會讓中臉變得太滿。很多人笑起來會發現表情不自然,甚至被形容成「饅化臉」或「土撥鼠感」

3.臉頰(側臉、下臉)

最後是臉頰與下臉。這個區域的饅化,多半發生在追求「拉提」的人身上。許多人為了讓下臉線條看起來更緊、更挺,就不斷補充體積,結果臉反而變得更重、更寬,導致原本該是立體的V臉,變成了厚重的U型。

想要安全有效,記得這三步驟

  • 看清楚:把超音波當導航

    所有修整都從「看清楚」開始。先用超音波確認層次、範圍、密度與材質,像先看好地圖再開車,不然容易越修越歪。

  • 先軟化:把硬塊變得可調整

    面對纖維化、膠原增生或硬塊組織,第一步是讓它軟化。 直接破壞或抽除不僅容易造成凹陷,也可能讓疤痕更明顯。我會先用適合的方法讓組織鬆開、體積下降到可調整狀態。

  • 再減量:小量、精準,才不會失衡

    軟化後,才進入精細減量階段。利用顯微套管抽脂進行小範圍、可控調整。

🔔 李咏馨醫師:我們追求的不是讓異物完全不見,而是臉部的美觀恢復自然。

臉上出現硬塊或不自然的線條,常常會讓人不自信,甚至不敢好好笑。光靠打消脂針或電波,其實很難從根本解決問題。重點是先看清楚問題在哪裡,了解每一層的變化。我們會用超音波仔細確認皮膚、脂肪和異物的狀態,先慢慢軟化,再精準微調,讓臉型逐步回到自然。面對問題不必害怕,一步步處理,就能找回笑起來輕盈又自然的自己。

※本篇文章僅依科學觀點與醫學資訊為讀者提供健康知識參考,只供衛教、無任何推廣藥品用途。

提醒您,每一項手術療程皆因個人體質有所影響,而有不同差異性的結果,並且會有不同輕重的副作用,手術前務必與醫師進行諮詢評估,任何手術都有風險,侵入式手術造成開放式傷口,術後有傷口照護不當或其他因素所造成之傷口感染風險。更多醫療風險會於與醫師溝通諮詢時,由醫師評估個人情況後告知,慎選醫師及診所,安全更有保障! 照片為本診所案例,當事人親身體驗,肖像權均受當事人授權同意,非麗波永康國際診所不得擅自使用。

ABOUT LIPRO

李咏馨醫師觀點

院所資訊

服務時間

LIPRO_logo type _png
COPYRIGHT © LIPRO | Adipose System Regulation & Body Sculpture Surgical Clinic

隱私權設定:內容僅供參考,適用處置與效果因人而異,仍必須由醫師當面做專業諮詢與評估。禁止任何網際網路服務業者轉錄其網路資訊之內容供人點閱。但以網路搜尋或超連結方式,進入醫療機構之網址(域)直接點閱者,不在此限。

返回頂端